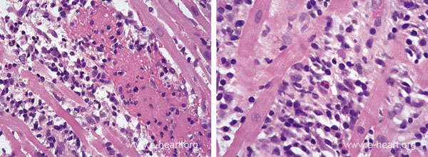
Acute Cellular Rejection - Grade 3R
The most severe lesions in Grade 3 R (severe, high-grade, acute cellular rejection) show intersitial hemorrhages in addition to the polymorphous inflammatory infiltrates . In the old working formulation this was designated Grade 4.
These two microscopic fields show that in addition to the inflammatory infiltrate,, marked interstitial edema is present. (H&E, X4ws00)


